Blodprover och blodtryck visar din risknivå – men inte om du har åderförkalkning i dina kranskärl.

Åderförkalkning, eller ateroskleros, är en process som börjar långt innan man får symtom. När blodkärlens väggar utsätts för riskfaktorer som bland annat högt blodtryck, rökning, höga blodfetter eller diabetes, kan små skador uppstå i kärlväggen. Kroppen försöker reparera dessa skador, men processen leder ofta till att fettpartiklar (kolesterol) lagras in i kärlväggen. Med tiden byggs dessa inlagringar på och utvecklas till så kallade plack.

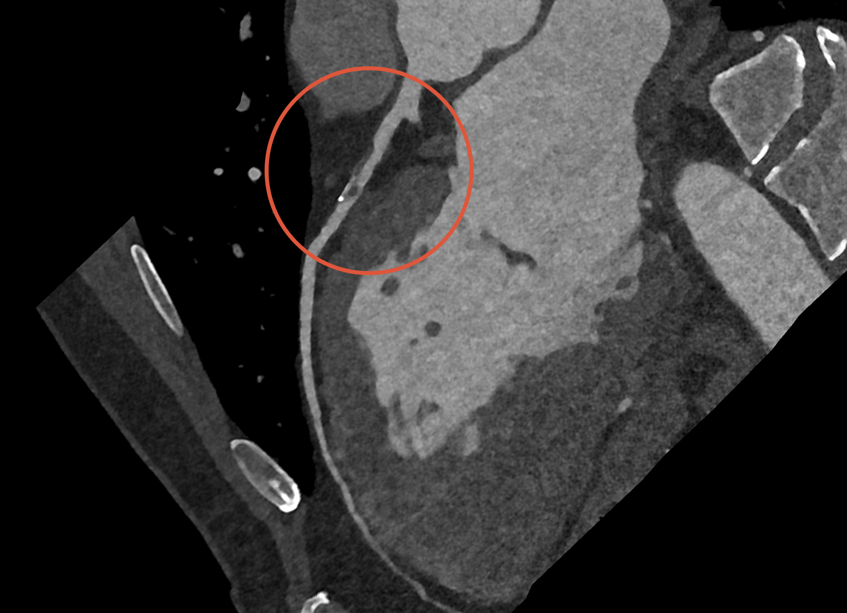
Placken kan bestå av mjukare plack eller förkalkade plack. Mjukare plack innehåller fett och kolesterol, men syns inte på en Calcium score undersökning. Förkalkade plack innehåller kalcium, vilket gör dem hårdare och synliga vid både DT-Hjärta och Calcium score.
När placken växer kan de tränga in i kärlets lumen (den öppna kanalen där blodet flödar) och orsaka förträngningar. Detta kan försämra blodflödet till hjärtat, vilket i värsta fall leder till kärlkramp eller hjärtinfarkt. Det mest riskfyllda är dock att ett plack kan brista. Då kan en blodpropp snabbt bildas och helt blockera blodflödet i kranskärlet – det är ofta detta som orsakar en akut hjärtinfarkt.

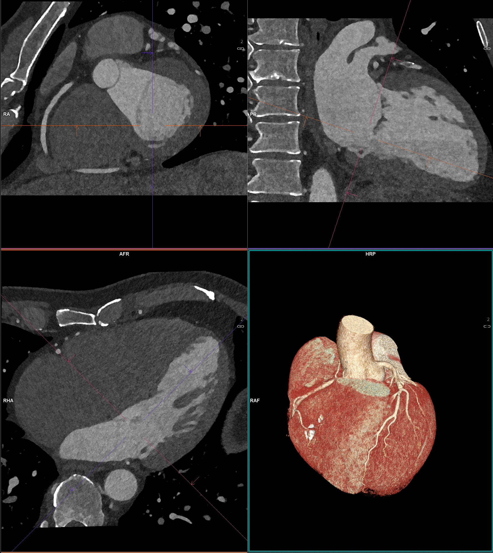
Vid hjärtscanning hos LEVA används den moderna datortomografen Siemens SOMATOM go.Top. Den tar detaljerade bilder av hjärtat på bara några sekunder medan du ligger bekvämt på en brits.
Eftersom det är en röntgenundersökning med datortomografi ingår en liten mängd strålning, men dosen hålls så låg som möjligt med den senaste tekniken. Nyttan av att tidigt upptäcka risker för hjärtinfarkt är mycket större än riskerna.

I hjärtpaketet ingår: Blodprover för blodfetter (Total kolesterol, HDL, LDL, non-HDL, LDL/HDL kvot, triglycerider samt Lp(a)), njurvärde (kreatinin, GFR), blodsocker (glukos), levervärde (ALAT) samt blodtryck. Alla får ett medicinskt utlåtande av hjärtläkare och dem med förhöjd risk kallas till kostnadsfritt videobesök med hjärtläkare där man som nästa steg erbjuds vidare utredning med hjärtscanning, DT-hjärta eller Calcium score.
Behovet för en bättre förebyggande hjärthälsa är mycket stort i samhället samtidigt som resurser för att hantera detta är begränsat. Vår tjänst riktar sig till dem där behovet och nyttan med vår tjänst är som allra störst, det vill säga dem med förhöjd risk. Utöver detta är hjärtscanning med datortomografi en undersökning som innebär en mindre mängd strålning där nyttan kontra risken med hjärtscanning blir svårt att motivera hos individer med låg risk.
Hjärtscanning utförs via vår samarbetspartner Evidia på följande mottagningar: Evidia Sabbatsberg Röntgen, Stockholm, Evidia Annedal Röntgen, Göteborg och Evidia Uppsala vid Elisabethsjukhuset, Uppsala.
Nej. Den offentliga vården erbjuder inte denna typ av utredning.
Män och kvinnor från 40 års ålder utan tidigare genomgången hjärtinfarkt kan boka hjärtpaketet. De med förhöjd risk bokas till videobesök med hjärtläkare där man som nästa steg kan utredas vidare med hjärtscanning, DT-hjärta eller Calcium score.
Det finns flertalet studier som visar att bildgivande röntgenundersökningar såsom calcium score och datortomografi av hjärtat förbättrar riskvärderingen. De har också återkommande visat att förbättrad riskvärdering leder till att fler med hög risk kan behandlas och att de med högst risk är de som vinner mest på förebyggande åtgärder.
Hjärtscanning kan påvisa huruvida du har ateroskleros (åderförfettning eller åderförkalkning). Det finns två olika metoder. Den enklaste varianten mäter förekomst av förkalkningar i kranskärlen, så kallat ”coronary artery calcium score”. Det finns ett starkt samband mellan calcium score, mängden ateroskleros och framtida risk för hjärtkärlsjukdom. 5-10% med ateroskleros har plack utan förkalkning och dessa syns inte vid användande av calcium score. Dessa plack är i regel farligare än de med förkalkning i sig. För att även kunna se dessa förändringar behöver man göra en datortomografi av kranskärl där man tillför kontrastmedel vilket är den andra metoden - Datortomografi av hjärtat.
Det idag rekommenderade sättet är att använda riskvärderingsverktyg såsom SCORE2. Det har utvecklats genom undersökningar av många individer i Europa, och genom att använda sig av information om ålder, kön, eventuell rökning, blodfettsnivåer och blodtryck beräknas risken för att utveckla hjärt-kärlsjukdom under de kommande tio åren. Utöver SCORE2 tas andra riskfaktorer med i bedömningen, såsom förekomst av diabetes, ärftlighet, övervikt och nedsatt njurfunktion. Beroende på sin ålder kan man sedan ange om man har låg, hög eller mycket hög risk att utveckla hjärt-kärlsjukdom.
Hjärt-kärlsjukdom har varit den vanligaste dödsorsaken i Sverige sedan 1950-talet och är fortsatt den vanligaste dödsorsaken. 2023 avled nästan en tredjedel på grund av hjärt-kärlsjukdom i Sverige. Hjärtinfarkt eller andra problem med kranskärlen är den vanligaste hjärt-kärlsjukdomen. Varje år drabbas cirka 21 000 personer i Sverige av akut hjärtinfarkt.
Den vanligaste typen av hjärtinfarkt och kranskärlssjukdom beror på ateroskleros (åderförfettning eller åderförkalkning) som är förhårdnader (plack) av ansamlat fett och inflammatoriska celler omgiven av en bindvävskapsel som sitter på kärlens insida. Om placken växer till kan det ge förträngningar i kranskärlen som hindrar blodflödet och därmed ge syrebrist då hjärtat kräver mer syre, Detta kan yttra sig i form av bröstsmärta vid ansträngning som går över i vila, vilket kallas kärlkramp. Om ett åderförkalkningsplack spricker uppfattar blodet detta som ett sår och börjar levra sig. Detta kan leda till en propp och ett plötsligt stopp i kärlet, vilket leder till en hjärtinfarkt. Det är den plötsliga sprickbildningen och blodproppen som gör att en tidigare helt symtomfri individ plötsligt kan drabbas av hjärtinfarkt.
Det finns studier som visar att mer än 85% av risken för hjärt-kärlsjukdom kan förklaras av riskfaktorer som är påverkbara: Det handlar om beteenden som rökning, ohälsosam kost, fysisk inaktivitet och psykosocial stress, men också tillstånd som förhöjda blodfetter, högt blodtryck, diabetes och övervikt (framförallt bukfetma). Men även faktorer som inte är påverkbara, såsom ålder, manligt kön, ärftlighet, nedsatt njurfunktion och inflammatoriska sjukdomar ökar risken.
Ateroskleros (åderförfettning eller åderförkalkning) utvecklas successivt genom livet. Men det går att påverka. Ett sätt att sammanfatta det på är “Life's Essential 8'' som innebär: (1) äta bättre, (2) var mer fysisk aktiv, (3) sluta röka, (4) sov ordentligt, (5) Undvik övervikt, (6) ta hand om blodfetter (7) ta hand om blodtryck och (8) hantera diabetes.
Riskberäkningar med SCORE2 och liknande riskvärderingsverktyg saknar precision på individnivå. Idag finns bildgivande röntgenmetoder för att ta reda på om man har ateroskleros (åderförfettning eller åderförkalkning) i sina kranskärl, vilket är en risk för att drabbas av hjärtinfarkt.